

Puede mover el regulador al derecho o isquierda para recibir una impression exacta de nuestros trabajos.
Veneers
Antes
La pacienta de 48 años, llegó con múltiples problemas. Luego de un accidente en bicicleta el año pasado, se fracturó y se le desplazó la mandíbula como también se le quebraron dientes. Además a raíz de la ingesta de medicamentos se le produjo un decoloramiento de los dientes.
Después
Luego de un tratamiento largo de 1 año y gracias a la convalecencia, terapia, ayuda de frenillos y terapias kinésicas, logramos en éste caso tan complejo una reconstrucción de todas las piezas dentales y mandíbula. La pacienta volvió a ingerir alimentos sin sentir dolores y le volvió el aspecto de una dentadura saludable.


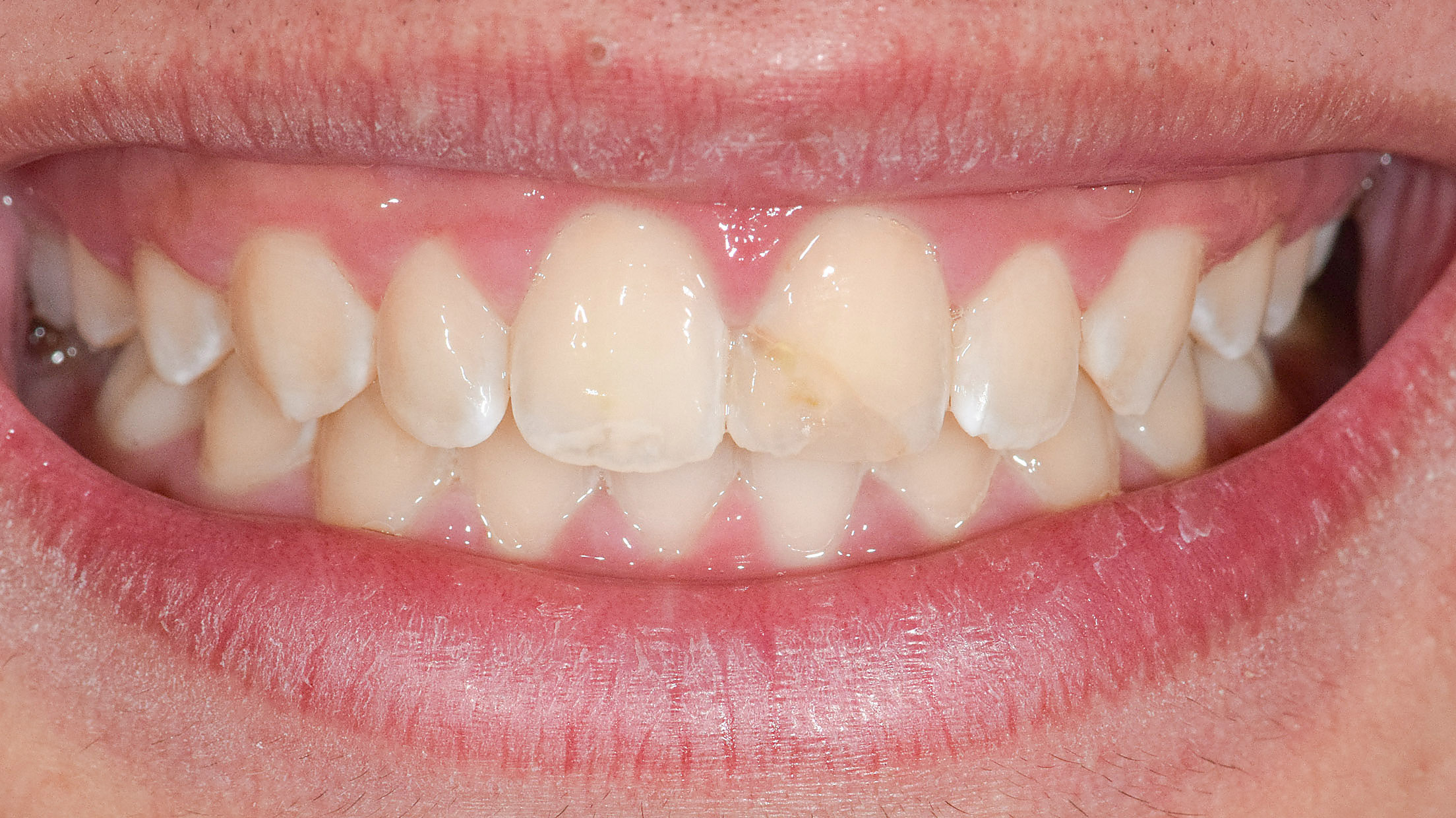
Veneers
Antes
El paciente de 52 años llego con una decoloración significativa y una corona insuficiente a nuestra consulta.
Después
Através de una mínima preparación invasiva con veneer y una corona en el diente adyaciente se logró reconstruir la imagen natural de sus dientes.


Veneers
Antes
El paciente de 49 años, llegó con un relleno insuficiente y con el deseo de reconstruir y armonizar su arco dental frontal.
Después
Gracias a la elaboración de Veneers de cerámica, se pudo reconstruir estéticamente perfecto el aspecto dental deseado.


Veneers
Antes
La pacienta de 39 años, no se sentía cómoda con la diferencia de porte de sus dientes frontales/iniciales.
Después
Através de cortes mínimos de los dientes frontales y pegar carillas en los dientes incisivos por medio de un método NON PREP- Veneers, logramos optimizar la situación bucal.


Composite
Antes
Una pacienta de 23 años, llegó a nosotros con una pequeña fractura y deseaba una corrección.
Después
Ésta la pudimos sanar gracias a la técnica de adhesivos Composite.


Veneers
Antes
La paciente, una mujer de 62 años, vino a nuestra consulta con un diastema amplio y deseaba una parte frontal más agradable del maxilar superior.
Después
La estructura dental estaba completamente intacta y se requería la menor preparación posible. Se realizó un análisis del modelo en el laboratorio para comprobar si era posible fabricar la restauración sin preparación. El resultado de la restauración son unas carillas estratificadas sobre muñones refractarios, que se difuminan finamente sobre la superficie no tratada de los dientes.


Composite
Antes
El paciente de 16 años, tuvo una fractura de diente causada por un accidente y el diente se oscureció con el tiempo debido a un tratamiento de conducto posterior. El paciente acudió a nuestra consulta con el deseo de blanquear y reconstruir el diente anterior.
Después
Bajo el microscopio, se limpió el diente de su antiguo empaste descolorido y se blanqueó con un blanqueamiento intradental. En la segunda sesión, se restauró la hermosa forma original con composite.